Mir Implant

치아 건강은 평생의 자산입니다.


단 하나의 임플란트도 구미미르치과병원에서는 다릅니다.

상실된 영구치, 걱정 마세요. 임플란트가 있습니다.

최첨단 컴퓨터 분석 시스템을 활용하여 개인의 치아 구조를 면밀히 파악하고,

환자의 심미성과 기능성을 모두 만족하는 맞춤형 임플란트를 제공합니다.
단 하나의 임플란트라도 평생을 함께할 소중한 치아.


구미미르치과병원은 늘 환자의 건강과 만족을 최우선으로 생각합니다.

Implant
수술부터 관리까지, 책임지는 임플란트

Mir Implant System

처음 상담부터 수술, 그리고 회복과 관리까지 1:1 주치의가 전 과정을 함께합니다.


믿을 수 있는 정품 재료와 진심 어린 사후관리로 시간이 지나도 변하지 않는 신뢰를 드립니다.

  • Dental Implant Process image1

    남은 치아를 건강하게

  • Dental Implant Process image2

    자연치아는 그대로

  • Dental Implant Process image3

    오래오래 아름답게

임플란트 시술 과정

Dental Implant Process

단계별 과정을 통해 임플란트가 단단히 고정되어 자연치아처럼 기능할 수 있습니다.

올바른 관리와 정기적인 검진은 임플란트의 수명과 구강 건강을 유지하는 데 도움이 됩니다.
전체 시술 (풀 케이스)의 경우는 위의 시술 방법과 차이가 있습니다.

  • Dental Implant Process image1
    Process 01

    1차 수술

    턱뼈에 인공치근을 심는 것으로
    발치 후 바로 심을 수도 있습니다.
  • Dental Implant Process image2
    Process 02

    2차 수술

    심은 인공치근에 지대주를 연결합니다.



    (불필요한 경우도 많습니다.)
  • Dental Implant Process image3
    Process 03

    보철물 및 장착

    지대주 본을 떠서
    필요한 보철물을
    만듭니다.

디지털 임플란트

진단에서, 수술, 보철까지!


디지털로 더 정교하게, 더 편리하게, 더 빠르게!

영구치를 대신할 수 있는 대안, 임플란트!


유치 후에 영구치가 있다면 영구치 후에는 세 번째 치아, 임플란트가 있습니다.


임플란트 시술로 새로 태어난 치아를 경험해 보세요.

디지털 임플란트 시술 단계

  • ​​​​​​​Step 01

    진단 단계

  • ​​​​​​​Step 02

    수술 단계

  • ​​​​​​​Step 03

    보철 단계

Step 01. 진단 단계

  • 3차원(3D) 가상 모의 수술

    진단 소프트웨어를 이용한,



    3차원(3D) 가상 모의수술

    치아 치료의 시작은 정확한 진단에서 비롯됩니다.



    구미미르치과병원은 첨단 디지털 장비를 활용해 환자 개개인의
    치아 상태와 뼈 구조를 면밀히 분석합니다.


    단순한 검사에 그치지 않고, 정밀한 3D 영상과 시뮬레이션으로
    최적의 임플란트 위치와 치료 계획을 맞춤 설계합니다.
    안전하고 효과적인 시술을 위한 첫걸음,


    구미미르치과병원의 디지털 임플란트 진단과 함께하세요.



    당신의 건강한 미소를 위해 가장 정확한 시작을 약속드립니다.

  • 컬러 코딩 분석 기법

    컬러 코딩(Color Coding)


    분석 기법으로 정확한 골밀도 진단

    임플란트가 안전하게 시술되기 위해서는 잇몸뼈(치조골)의
    밀도 진단이 필수적입니다.



    정밀한 골질 파악으로 임플란트를 잇몸뼈가 가장 단단한 곳에
    시술될 수 있도록 최적의 위치 결정이 가능해집니다.

    • #컬러 코딩 진단

    • #골밀도 분석

    • #정확한 진단

  • 모의 시술 섹션 뷰

    시술 시간 단축,


    보다 정밀한 수술 지향

    모의 시술 섹션 뷰를 통해 임플란트가 식립될 위치와 각도, 길이, 직경을 정밀하게 진단하며, 시술 전 각 부분을 세밀하게 확인하여 최적의 맞춤 치료 계획을 수립합니다.

    • #부분별 파악

    • #식립 진단

    • #안전한 식립

식립 위치와 각도, 길이, 직경 등 정밀한 계획

  • 모의 시술 섹션 뷰로 부분별 파악

  • 임플란트가 식립 될 위치와 각도, 길이, 직경 진단

수술 전 모든 위험 요소를 사전에 파악

  • ​​​​​​​신경 위치의 정밀한 파악, 안전한 식립

  • 육안으로 구분 가능한 골밀도(색깔), 보다 정확한 진단


Step2. 수술 단계

  • 진단용 프로그램

    고객 맞춤형 수술 가이드 이용

    임플란트 시술의 첫 단계는 가상 모의 시술이 가능한 진단용 프로그램을 통해 시작됩니다. 이 프로그램은 환자의 구강 상태를 3D로 정밀 분석하여 임플란트가 식립될 위치, 각도, 길이, 직경 등을 시뮬레이션하며, 수술 전 모든 과정을 미리 예측하고 계획할 수 있도록 돕습니다.

    • #첨단 3D 기술

    • #신속 진단

    • #수준 높은 진료

안전한 깊이와 각도에 따라 식립 되도록 도와주는 수술 가이드

  • 01

    맞춤형 수술 가이드 (Surgical Guide) 제작

    환자의 진단 데이터를 바탕으로 정확한 식립을 돕는 맞춤형 수술 가이드(Surgical Guide)를 제작합니다.
  • 02

    정밀하고 안전한 시술

    수술 가이드로 더욱 정밀하고 안전한 시술
  • 03

    신속한 시술 가능

    정교한 깊이, 각도 시술을 도와 신속한 시술 가능

Step3. 보철 단계

  • 3D Digital CAD/CAM

    첨단 장비로 다양한 임상에 대응하며,


    정밀한 보철물을 완성합니다.

    • #디지털 보철 설계

    • #정밀 CAD/CAM 기술

    • #첨단 임상 보철

  • 3D Printer

    해부학적이고 기능적인 디자인을


    바탕으로 정밀한 제작

    • #해부학적 제작

    • #신속 제작

    • #정교한 출력

  • 자체 디지털 기공소 구축

    치과병원 내,



    디지털 기공소에서 직접 제작

    • #맞춤 보형물

    • #진료 시간 단축

    • #신속한 제작

  • 지르코니아 보철

    구미미르치과병원의 선택,


    지르코니아 보철의 우수성

    • #강도와 심미성

    • #생체 친화성

    • #장기적인 예후

전악 임플란트

우수한 심미성 회복에 저작까지 가능하도록!

치아를 모두 상실한 경우 과거에는 틀니를 사용했지만, 전악 임플란트로 일부 저작기능 회복과 심미적인 효과를 기대할 수 있습니다.



전악 임플란트는 16~20개의 임플란트를 식립해야 하는 큰 범위의 고난도의 수술인 만큼 환자의 구강 상태를 면밀히 분석합니다.

  • Point 01

    이물감이 적음

  • Point 02

    경제적 부담 감소

  • Point 03

    우수한 심미성

  • Point 04

    튼튼한 고정력

  • 전악 임플란트

    구미미르치과병원 전악 임플란트는 디지털 시스템으로 진행이 되어 더욱 정확하고 정밀한 치료가 가능합니다.

    전악 임플란트는 난이도가 높아 정확한 진단과 체계적인 진행이 중요합니다.


    저희 병원은 정밀 수술 계획 후 최소 절개로 임플란트를 정확한 위치에 식립하고, 환자 맞춤형 보철물을 완성합니다.

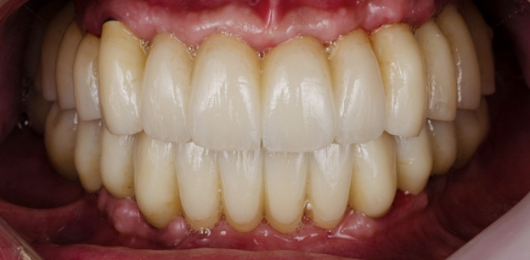
전악 임플란트 사례

  • ​​​​​​​만성 치주염으로 전악 발치 후, 상하악에 임플란트 식립

  • ​​​​​​​임플란트 보철 장착 후

맞춤형 보철물 시스템

  • 맞춤형 보철물 시스템

    구미미르치과병원 자체 디지털 기공 센터

    치과병원 내 기공소가 있어 신속한 맞춤형 보철물 제작을 가능하게 합니다.

    그래서 즉시 수정, 보완이 가능해 진료 시간을 훨씬 단축할 수 있습니다.


첨단 디지털 장비 구축

첨단 디지털 장비 구축으로 오차는 줄이고, 더 정교하게!

  • Zirkonzahn

    이탈리아 Zirkonzahn사의
    CAD CAM

    기공 과정 중 발생하는 변형의 오차를 최대한 줄여
    자연치아와 유사하게 제작됩니다.



    밀링머신 중 스크류 타입 보철물 자체 제작이 가능합니다.

  • Next Dent

    3D Printer Next Dent 5100

    소재의 안정성 및 빠른 출력 속도, 정확성을 보장합니다.



    임플란트는 물론이고 크라운, 각종 치과 보철물, 치과 주조물이
    빠르고 정확하게 제작됩니다.

  • ARUM

    5X-300 Pro

    신속한 가공력과 정확도 높은 밀링 장비입니다.



    단시간에 정확도 높은 보철물 제작이 가능합니다.

  • Sindoh

    SINDOH Neo speed 10

    기존 3D프린터들보다 정교한 출력이 가능하면서


    출력 속도는 더 신속합니다.
    (기존 제품 대비 30~40% 정도 향상된 출력 속도)



    다양한 덴탈 레진의 호환 출력이 가능합니다.

구미미르치과병원의 진료 보증

임플란트, 안심하고 진료받으실 수 있도록

시술 이후, 3년 무상 보증과 더불어 식립 받은 임플란트 제품의 정보가 부착된 보증서를 즉시 제공하고 있습니다.


단, 보증서에 기입된 의무를 성실히 이행하는 경우에 한합니다.

보증서에 부착되는 식립 된 임플란트 제품의 라벨

임플란트를 사용하다 상부 보철에 문제가 생겼을 때는 식립 된 제품의 종류와 사이즈를 알고 있으면 간단히 보철물 교체만으로 개선이 가능한 경우가 있습니다.



간혹 진료받았던 치과의 폐업으로 인해 이러한 정보 파악이 어려워, 환자분이 곤란을 겪는 경우가 종종 있습니다.



그래서 보증서에 부착된 정보를 가지고 계시면, 향후 부득이하게 타원에서 진료받으실 때 원활한 제품 파악이 가능합니다.

구미미르치과병원
약도 문자전송서비스

전송된 약도를 확인하시고 방문해 주시면 감사하겠습니다.

약도 문자전송

구미미르치과병원
주차타워 / 지상 주차장 운영 안내

구미미르치과병원 건물 내 자주식 주차장이 있으나 주차 공간이 협소하오니 미르빌딩을 찾아주시는 고객님들의 안전을 위하여 대형 차량, SUV, 수입 차량은 되도록 지상 주차장 이용을 부탁드립니다.


미르빌딩 건물 뒤편 지상 주차장​​​​​​​


운영시간 오전 9:00~ 오후 7시까지


화요일 야간진료시 오전 9:00~오후 9시까지


월요일 야간진료시 지상 주차장만 이용 가능 (지하 주차장 미운영)