Mir Orthodontics

치아교정,


단순한 배열정리가 아닙니다.

구미미르치과병원은 부정교합을 정확히 진단하여


심미와 기능을 동시에 개선하는 맞춤형 교정 치료를 제공합니다.

치아 교정은 바로 '교합'을 바로잡는 과정입니다.


단순히 삐뚤어진 치아를 가지런히 하거나 튀어나온 입을 넣는 것이 아니라,

위아래 턱뼈의 관계를 정상화하고 바르게 씹고 발음할 수 있도록 도와줍니다.


그 결과, 기능을 회복하고 아름다운 얼굴 모양을 완성할 수 있습니다.
결국, 교정 치료란 치아 기능을 회복해 균형 잡힌 아름다움을 만드는 일입니다.

Orthodontics
교정 치료 적절한 시기는?

Orthodontic Treatment Timing

치아교정은 연령보다는 구강 상태에 따라 달라지는 치료이므로 정기적인 검진을 통해


효과적인 시기에 치료가 이루어져야 합니다.

  • Dental Implant Process image1

    성장기 아동의 교정 치료

  • Dental Implant Process image2

    영구 치열의 교정 치료

  • Dental Implant Process image3

    수술을 위한 교정 치료

Effects of Orthodontic Treatment

교정 치료 효과

각 분과별 협진으로 치료하는 것이 효과적입니다.

  • 음식을 씹는 기능이 좋아집니다.

  • 칫솔질이 잘 되어 충치나 잇몸 질환이 예방되어 구강 위생이 좋아집니다.

  • 턱뼈의 성장을 조절하여, 주걱턱, 무턱, 비대칭 턱을 해소할 수 있습니다.

  • 얼굴 모양에 좋지 않은 나쁜 습관을 교정해 줌으로써 입 모양이 좋아집니다.

  • 근육 기능이 정상화되면 이갈이, 이 악물기가 줄고 치아 마모도 감소합니다.

환자 중심의 폭넓은 교정 장치 선택

다양한 종류의 교정 장치를 사용하여


환자분들의 상황과 여건에 맞는
선택의 폭을 넓혀드리고 있습니다.
  • 데이몬 교정

    빠르고 편안한 데이몬 교정

    데이몬 교정은 자가 결찰 기술을 적용한 교정 방법으로,
    기존의 교정 방식보다 빠르고 편안하게 치료할 수 있습니다.


    적은 마찰로 더 효율적인 치료가 가능하며, 미세한 조정이 용이합니다.
    데이몬
  • 세라믹 교정

    자연스러운 세라믹 교정

    세라믹 교정은 투명하거나 치아 색상과 유사한 브라켓을 사용하여,
    외관에서 거의 보이지 않는 교정 방법입니다.


    심미적인 면에서 뛰어나며, 자연스러운 외모를 유지할 수 있습니다.
    세라믹교정
  • 금속 교정

    기본에 충실한 금속 교정

    교정 치료는 많은 지식과 의술 뿐 아니라 의료진의 정성과 관심 또한 중요합니다.

    구미미르치과병원은 치과교정전문의를 비롯한 의료진 모두 환자분과
    충분히 감정을 교류하고 대화하며 함께 동행하는 치료를 합니다.
    금속교정
  • 설측 교정

    보이지 않는 설측 교정

    설측 교정은 브라켓을 치아의 안쪽에 부착하여 교정하는 방법입니다.

    외부에서 보이지 않기 때문에 미용적인 장점이 크며,

    기능적인 효과도 뛰어납니다.
    설측교정
  • 투명 교정

    투명한 교정, 나만의 스타일

    투명 교정은 거의 보이지 않는 투명한 플라스틱 장치를 사용하여 교정하는 방법입니다.


    탈부착이 가능하고, 미용적인 장점이 크며, 식사나 구강 청결에 불편함이 적습니다.
    투명교정
Orthodontic Treatment Process

교정 치료 진료 과정

평생 함께할 자신 있는 미소,


구미미르치과병원의 미소 디자인은 이렇게 시작합니다.
  • 01

    첫 내원(초진)

    치아와 안모에 대한 임상검사를 합니다.
  • 02

    자료 채득

    X-ray, 구강 내ㆍ외 카메라 사진, 치아 모형, 턱관절 및 치주 상태,
    전신 질환 유무,
    가족력 검사 등을 ​​​​​​​통해 진단 자료 수집
  • 03

    자료 분석

    채득한 자료를 분석하여 ​​​​​​​환자에게 가장 적절한 치료 계획을 수립
  • 04

    진단 통보

    자료에서 얻어진 결과를 바탕으로 환자가 가지고 있는 문제,

    치료 방법 및 계획에 관해 ​​​​​​​환자와 의논하고 치료 계획을 확정
  • 05

    치료

    환자가 치료 계획에 동의하게 되면 수차례에 걸쳐 교정 장치가 부착되며

    주기적인 내원을 통해 치료가 진행됩니다.
  • 06

    치료(유지)

    교정 치료를 통해 개선된 치열 상태가 오랫동안 ​​​​​​​유지되도록
    일정 기간 보정 장치를 착용

교정 치료법

  • 교정 치료법

    다양한 연령,


    다양한 사례에 따른 교정 방법

    치과 진료 중 어려운 분야 중 하나가 ‘교합’입니다.



    눈에 보이지 않지만, 전신 건강에 큰 영향을 주기 때문입니다.
    치아교정은 이러한 잘못된 교합을 바로잡아 위아래 턱뼈의 균형을 맞추고,


    또렷한 발음과 올바른 저작 기능을 도와줍니다.



    뿐만 아니라 균형 잡힌 얼굴형 형성에도 기여해 단순한 미용을 넘어서는 치료입니다.

교정 치료법 성장기 턱 교정 치료가 필요한 경우

  • 1

    아래턱이 크거나 거꾸로 물리는 경우

  • 2

    아래턱이 작거나 턱이 좁은 경우

  • 3

    안면 비대칭

  • 4

    이가 너무 일찍 빠진 경우

  • 5

    습관조절 (손가락 빨기, 혀 내밀기, 입으로 숨 쉬기)

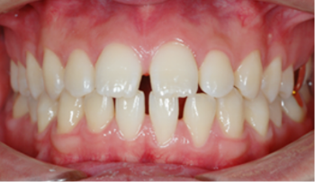
​​​​​​​Case 01. 덧니 & 치열 불규칙

덧니가 있거나 치열이 불규칙한 경우, 심미적으로도 보기에 좋지 않지만, 기능적으로도 본연의 역할을 상실하게 됩니다.


이 경우 교정 치료 방법은 크게 치아를 빼고 하는 방법과 치아를 빼지 않고 교정하는 방법으로 나뉩니다.

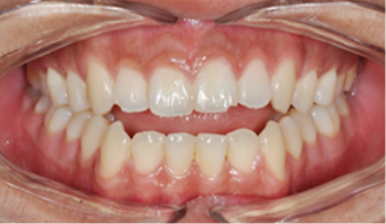
교정 치료 Before & After

  • 덧니 & 치열 불규칙 교정 치료 전

    Before

    Before

  • 덧니 & 치열 불규칙 교정 치료 후

    After

    After

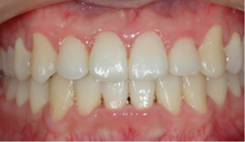
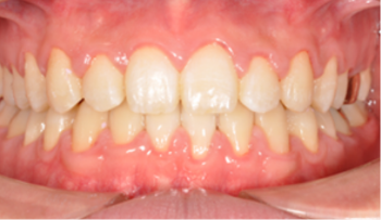
​​​Case 02. 치간공극

치아 사이에 공간이 있는 경우에, 교정 장치를 부착하여 치아 사이에 있는 공간을 뒤로 당겨서 없애게 됩니다.



벌어진 정도와 위치, 교합 관계 등에 따라 양측 또는 편측으로 교정이 들어갈 수 있으며, ​​​​​​​그에 따라 소요되는 기간도 약간씩 차이가 납니다.

교정 치료 Before & After

  • 치간공극 교정 치료 전

    Before

    Before

  • 치간공극 교정 치료 후

    After

    After

​​​​​Case 03. 개방교합

유전 또는 손가락 빨기, 혀 내밀기 습관, 구 호흡 지속 등의 원인으로 위아래 치아를 맞물었을 때 어금니만 물리고 앞니는 물리지 않고 떠 있는 상태를 개방교합이라 합니다. 개방교합의 경우 앞니로 음식물을 자르지 못하고 발음이 새는 증상이 나타납니다.

교정 치료 Before & After

  • 개방교합 교정 치료 전

    Before

    Before

  • 개방교합 교정 치료 후

    After

    After

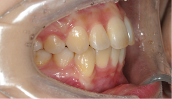
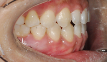
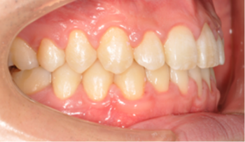
​​​​​​​​​​​Case 04. 돌출 입

치아교정을 통해 뻗어 나온 앞니를 뒤로 당겨 넣는 치료입니다. 나온 입을 넣기 위해서는, 송곳니 뒤쪽에 있는 작은 어금니를 발치하고 그 자리를 이용해 앞니를 당기게 됩니다.

  • Before

  • After

교정 치료 Before & After

  • 돌출 입 교정 치료

    Before

    After

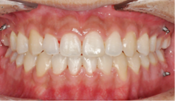
​​​​Case 05. 비수술 교정 치료

아래턱이 위턱보다 앞으로 나와 있으며, 치아도 반대로 교합되는 경우를 말합니다.



또한 발음이 부정확하고 저작(씹는 기능)장애가 있기도 합니다. 주걱턱은 얼굴 길이의 문제나 비대칭을 동반하는 경우가 많습니다. 부조화가 심한 경우, 악교정수술을 동반한 교정 치료를 통해서 치료할 수 있으며 습관이나 기능상에 의한 주걱턱은 교정 치료를 통해 해결할 수 있습니다.

교정 치료 Before & After

  • 비수술 교정 치료 교정 치료 전

    Before

    Before

  • 비수술 교정 치료 교정 치료 후

    After

    After

  • 구외 모습 교정 치료 전후

    Before

    After

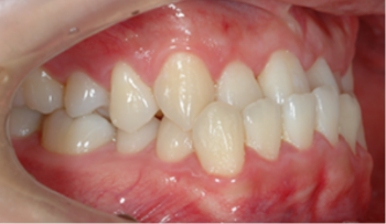
​​​​Case 06. 수술 교정 치료

일반 교정 치료만으로는 개선이 어려운 골격을 변화시키는 심미성이 우수한 교정 프로그램입니다.



턱 수술과 교정 치료를 병행하여 치료하는 것으로 주걱턱, 안면 비대칭, 무턱, 돌출 입 등과 같은 증례에서 주로 이루어지며, 하악 수술 또는 양악 수술이 시행됩니다.

  • 턱 수술 교정, 악교정 수술

  • 턱 수술 + 교정

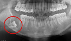
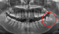
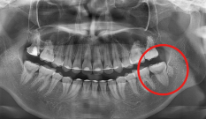
Case 07. 매복된 치아 & 쓰러진 어금니

영구치가 잘못된 방향으로 나거나 제때 올라오지 못하면 턱뼈 속에 갇히는 ‘매복 치아’가 생기며, 교정 치료로 올바른 방향으로 유도·견인해 정상교합 관계를 회복합니다.



어금니가 빠진 뒤 오랫동안 방치하면 인접 치아가 쓰러지고 맞물리던 치아가 내려오는데, 이 경우 쓰러진 어금니를 세우고 위치를 바로잡는 교정 치료로 씹는 힘과 치열의 균형을 되찾을 수 있습니다.

교정 치료 Before & After

  • 매복된 치아

    Before

    After

  • 쓰러진 어금니

    Before

    After

인비절라인

치아교정, 아직 망설이시나요? 인비절라인으로 해결하세요! 눈에 띄지 않는 투명 교정장치로 밝은 미소 되찾으세요.

  • 인비절라인

    투명장치(클리어 얼라이너)를
    이용한 교정 치료법입니다.

    브라켓과 철사를 이용하는 기존의 교정 치료 대신 투명 장치 또는 클리어 얼라이너라고 부르는 장치를 이용한 교정 치료법입니다.



    경도부터 과개교합, 발치 교정 등 중도의 부정교합까지 치료할 수 있도록 시스템이 설계되었습니다.
    ‘인비절라인’은 하나의 고유 상표로, 구미미르치과병원은 미국 FDA 승인을 받은 정품 인비절라인만을 사용합니다.

  • Check-up 01

    투명한 재질

  • Check-up 02

    적은 내원 횟수

  • Check-up 03

    탈착 가능

  • Check-up 04

    구강관리 용이

  • Check-up 05

    적은 통증

인비절라인의 포인트

  • 01

    클린체크 시스템 (Clincheck System)

    3D 스캔 및 치아교정 계획을 설계하며 치료 후 치아 모형 변화를 예측하기 위한 인비절라인만의 시스템입니다.



    이 시스템을 통해 개개인에 맞는 치료 계획을 세워 환자와 함께 단계별 치아 이동을 확인합니다.
  • 02

    스마트 트랙 (Smart Track)

    교정학적 치아 움직임을 효과적으로 개선하는 데 사용되는 인비절라인만의 고유 소재로
    편안한 착용을 위한 높은 탄력성, 치아를 따라 형성된 정교함, 통증을 줄여주는 힘의 균형을 자랑합니다.
  • 03

    스마트 포스 (Smart Force)

    클린체크로 예측된 치아 이동을 구현하기 위해 힘을 치아에 전달하여, 치아를 예측한 최적의 위치로 이동시킵니다.
  • 04

    스마트 스테이지 (Smart Stage)

    적합한 치아 이동 경로와 인비절라인 치료의 모든 단계에서 치아 각각의 이동 방향으로 힘이 전달되도록 얼라이너의 모양을 결정하는 진보된 알고리즘입니다.
  • 인비절라인 정품 마크

    미르치과병원은 미국 FDA 승인을 받은 정품 인비절라인만을 사용합니다.

  • 구강 스캐너 I-tero

    첨단 3D 구강 스캐너 I-tero를 이용하여 교정 후 예측되는 결과를 확인할 수 있습니다.

인비절라인 제작 과정

  • 01

    검진 및 치아 분석

    인비절라인 교육 이수를 받은

    보건복지부 인증 치과교정전문의
  • 02

    미국 본사와 소통

    맞춤형 3D 치료 계획을 세운 후,

    미국 본사에 전달
  • 03

    인비절라인 본사 제작

    미국 본사에서 맞춤 제작 진행
  • 04

    치료 시작

    제작 완료 후 교정 치료 시행

데이몬 교정

자가결찰시스템으로 통증은 적게, 치아 이동은 빠르게! 눈에 띄지 않는 투명 교정장치로 밝은 미소 되찾으세요.

  • 데이몬 교정이란?

    자가결찰시스템 교정장치 중
    가장 대표적인 브라켓입니다.

    일반 교정장치와 달리 브라켓 자체에 클립이 달려있어
    뚜껑을 열고 닫을 수 있습니다.



    o-ring이나 미세 철사를 묶지 않으며, 자체적으로 와이어를
    고정해 주는 장치입니다.

데이몬 클리어 & 데이몬 큐

  • 데이몬 클리어 (Damon Clear)

  • 데이몬 큐 (Damon Q)

​​​​​​​​​​​​​​​​​​​​​데이몬 교정의 장점

비수술! 비발치! 편안하게 교정 치료 받으세요! 데이몬 교정은 환자 개개인에게 맞는 Arch Form 형성이 가능하며, Light Force로의 치아 이동은 어린 연령층에게 특히 효율적으로 작용하여 덜 아프면서도 좀 더 빠르게 이동이 가능합니다.



특히 잇몸이 약한 40대 이상의 치료에서도 치근 흡수를 감소시켜 보다 효율적인 치료가 가능합니다.

  • 01

    편안함

    모양이 둥글고 부드러운 외형이며 크기가 작습니다.
  • 02

    심미성

    데이몬 클리어 장치는 전체 세라믹으로 제작되어 심미적으로 우수합니다.
  • 03

    적은 통증

    적은 힘으로 효과적인 교정이 가능하여, 치아 이동 시 발생하는 통증을 줄일 수 있습니다.
  • 04

    위생관리

    철사로 묶는 일반교정에 비해 관리가 쉽습니다.
  • 05

    치료기간 단축

    자가결찰방식으로 치아 이동이 빨라 일반교정보다 치료 기간이 단축됩니다.
  • 06

    긴 내원간격

    4~6주 간격으로 내원하여 일반교정보다 내원 횟수가 적습니다.

구미미르치과병원
약도 문자전송서비스

전송된 약도를 확인하시고 방문해 주시면 감사하겠습니다.

약도 문자전송

구미미르치과병원
주차타워 / 지상 주차장 운영 안내

구미미르치과병원 건물 내 자주식 주차장이 있으나 주차 공간이 협소하오니 미르빌딩을 찾아주시는 고객님들의 안전을 위하여 대형 차량, SUV, 수입 차량은 되도록 지상 주차장 이용을 부탁드립니다.


미르빌딩 건물 뒤편 지상 주차장​​​​​​​


운영시간 오전 9:00~ 오후 7시까지


화요일 야간진료시 오전 9:00~오후 9시까지


월요일 야간진료시 지상 주차장만 이용 가능 (지하 주차장 미운영)
빠른상담신청